The Volume Library


The intention of the library is to provide volume datasets for scientists involved with volume visualization and rendering. Commercial use is prohibited and no warranty whatsoever is expressed.

The datasets contain regular volume data mainly coming from CT or MRI scanners. The data is stored in the PVM format which contains information about the grid size, bit depth, and the cell spacing of a dataset. Optionally it may also contain a dataset description, courtesy information, the type of the scanner and a comment. This information and the raw data can be extracted easily using the PVM tools distributed with the V^3 volume rendering package available at my sourceforge page. Just checkout the V^3 package, type "install.sh" in a Linux shell and use the pvminfo resp. pvm2raw utility in the tools folder to extract the dataset information resp. the raw data.

Dataset
Cross-Section
Description
Dimensions
Bits
[Aspect]
Checksum
Credits
Scanning Parameters
Additional Comments

Download (7608kb)

.sav

384x512x80
8 bit
0.974019/0.974655/1.48125
0C16BF8F
Stefan Roettger
Georg-Simon-Ohm University of Applied Sciences, Nuremberg, Germany
http://wiki.ohm-hochschule.de/roettger


Artischocke

Download (3152kb)

256x256x104
8 bit
0.583649/0.583649/1.00586
C4A176F2
Stefan Roettger & Florian Steinmeyer
Georg-Simon-Ohm University of Applied Sciences, Nuremberg, Germany
http://wiki.ohm-hochschule.de/roettger


Baby Head

Download (1844kb)

.sav

256x256x98
8 bit
311D75D8
Distributed with the VolSuite package
CT Scan
Jason Bryan is the developer and maintainer of VolSuite.
Feel free to email him with questions or comments about the software:
jbryan at osc dot edu

Download (20436kb)

512x512x373
8 bit
0.9766/0.9766/1.25
BD3512BD



Blunt Fin

Download (196kb)

.sav

256x128x64
8 bit
1/0.75/1
31FA79A8
NASA Advanced Supercomputing Division, USA
http://www.nas.nasa.gov/Research/Datasets/datasets.html
Resampled from original unstructured tetrehedral grid

Bonsai #1
non-linear quantized version

Download (22384kb)

.sav

512x512x182
8 bit
0.585938/0.585938/1
4D9DEE6A
Stefan Roettger
Computer Graphics Group, University of Erlangen, Germany
http://www9.cs.fau.de/Persons/Roettger
CT Scan with Contrast Dye
Siemens Somatom Plus 4
16.Oct.1999

Thanks to Bernd Tomandl

Bonsai #1
linear quantized version

Download (10356kb)

.sav

512x512x182
8 bit
0.585938/0.585938/1
23D5981D
Stefan Roettger
Computer Graphics Group, University of Erlangen, Germany
http://www9.cs.fau.de/Persons/Roettger
CT Scan with Contrast Dye
Siemens Somatom Plus 4
16.Oct.1999

Thanks to Bernd Tomandl

Bonsai #1

Download (24508kb)

512x512x182
16 bit
0.585938/0.585938/1
AF985501
Stefan Roettger
Computer Graphics Group, University of Erlangen, Germany
http://www9.cs.fau.de/Persons/Roettger
CT Scan with Contrast Dye
Siemens Somatom Plus 4
16.Oct.1999

Thanks to Bernd Tomandl

Bonsai #2
non-linear quantized version

Download (17000kb)

.sav

512x512x189
8 bit
0.402344/0.402344/1
865F7616
Stefan Roettger
Computer Graphics Group, University of Erlangen, Germany
http://www9.cs.fau.de/Persons/Roettger
CT Scan with Contrast Dye
Siemens Somatom Plus 4
16.Oct.1999

Thanks to Bernd Tomandl

Bonsai #2
linear quantized version

Download (9736kb)

.sav

512x512x189
8 bit
0.402344/0.402344/1
AF0BDAC8
Stefan Roettger
Computer Graphics Group, University of Erlangen, Germany
http://www9.cs.fau.de/Persons/Roettger
CT Scan with Contrast Dye
Siemens Somatom Plus 4
16.Oct.1999

Thanks to Bernd Tomandl

Bonsai #2

Download (22416kb)

512x512x189
16 bit
0.402344/0.402344/1
A84386C0
Stefan Roettger
Computer Graphics Group, University of Erlangen, Germany
http://www9.cs.fau.de/Persons/Roettger
CT Scan with Contrast Dye
Siemens Somatom Plus 4
16.Oct.1999

Thanks to Bernd Tomandl

Bonsai #3
non-linear quantized version

Download (12824kb)

.sav

512x512x154
8 bit
0.402344/0.402344/1
8487BBB5
Stefan Roettger
Computer Graphics Group, University of Erlangen, Germany
http://www9.cs.fau.de/Persons/Roettger
CT Scan with Contrast Dye
Siemens Somatom Plus 4
16.Oct.1999

Thanks to Bernd Tomandl
Bonsai from IEEE Visualization '00 Conference
Bonsai #3
linear quantized version

Download (7944kb)

.sav

512x512x154
8 bit
0.402344/0.402344/1
48FA5E11
Stefan Roettger
Computer Graphics Group, University of Erlangen, Germany
http://www9.cs.fau.de/Persons/Roettger
CT Scan with Contrast Dye
Siemens Somatom Plus 4
16.Oct.1999

Thanks to Bernd Tomandl
Bonsai from IEEE Visualization '00 Conference
Bonsai #3

Download (18428kb)

512x512x154
16 bit
0.402344/0.402344/1
415A4E0A
Stefan Roettger
Computer Graphics Group, University of Erlangen, Germany
http://www9.cs.fau.de/Persons/Roettger
CT Scan with Contrast Dye
Siemens Somatom Plus 4
16.Oct.1999

Thanks to Bernd Tomandl
Bonsai from IEEE Visualization '00 Conference
Solid Box

Download (16kb)

.sav

64x64x64
8 bit
07F7C3E4
Stefan Roettger
Computer Graphics Group, University of Erlangen, Germany
http://www9.cs.fau.de/Persons/Roettger
Artificial
Test dataset containing a solid box
Bruce Gooch's Brain

Download (7444kb)

.sav

256x256x156
16 bit
7E53970E
Bruce Gooch
University of Utah, Salt Lake City
http://www.cs.utah.edu/~bgooch/BruceBrain.html
FMRI scans taken at an undisclosed location in the University of Utah research park
July 13th, 2001
The scans were taken as part of an arcane research project by a buddy
of mine named Jim Lee. Jim also provided the Matlab scripts you can
use to view the MRI data. I am making the data freely available with
the following caveats:

1: If you publish a scientific paper with an image created using my
MRI data you will mention that the image was created using the "Bruce
Gooch's Brain" data sets.

2: If you create a really cool image of my brain you will email me a
copy of it. I will post all such images on this site.

Thank You, and happy computing.

Bruce Gooch

June 12, 2001
Bucky Ball

Download (24kb)

.sav

32x32x32
8 bit
102CDE9F
AVS, USA
http://www.avs.com
Simulation of the electron density of a Buckminster-Fullerene

Stanford Bunny

Download (64956kb)

.sav

512x512x361
16 bit
0.337891/0.337891/0.5
F9A197D4
Terry Yoo
High Performance Computing and Communications, National Library of Medicine, USA
mailto:yoo@nlm.nih.gov
CT Scan
28.Jan.2000
This is a CT scan of the terracotta Stanford Bunny.

Three hundred sixty-one files comprise the bunny. The scale of the
voxel data is 0.337891 mm x 0.337891 mm x 0.5mm in the x-, y-, and z-
dimensions respectively. The greyscale units are Hounsfield units,
denoting electron-density of the subject. The data is raw 512x512
slices, unsigned, 12 bit data stored as 16bit (2-byte) pixels.

The scan was completed 28 January 2000.

Many many thanks to Geoff Rubin who helped me to scan the data, Sandy
Napel who coordinated the scan and helped to process the data, and
Marc Levoy who graciously provided the subject. Geoff and Sandy are
with Stanford Radiology, and Marc is with Stanford Computer Science.

Dataset contact info:

Terry S. Yoo
High Performance Computing and Communications yoo@nlm.nih.gov
National Library of Medicine National Institutes of Health
CT-Abdomen

Download (23992kb)

512x512x147
8 bit
0.779724/0.779724/4.96599
AAAA125E
Stefan Roettger & Florian Steinmeyer
Georg-Simon-Ohm University of Applied Sciences, Nuremberg, Germany
http://wiki.ohm-hochschule.de/roettger


Female Chest

Download (7104kb)

.sav

384x384x240
8 bit
AB7D36C1
Department of Radiology, University of Iowa
http://radiology.uiowa.edu/downloads
CT Scan

Chapel Hill CT Head

Download (5616kb)

.sav

256x256x113
16 bit
0.95/1/1.8878
5728224B
Marc Levoy
Computer Graphics Laboratory, Stanford University, USA
http://graphics.stanford.edy/~levoy

Provided courtesy of North Carolina Memorial Hospital
CT Study of a Female Cadaver Head
General Electric CT Scanner

Knee with anterior tibial osteotomy

Download (7316kb)

.sav

379x229x305
8 bit
8D6A4540
Department of Radiology, University of Iowa
http://radiology.uiowa.edu/downloads
CT-Scan

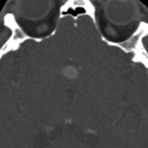
CTA Head with Aneurysm

Download (9692kb)

.sav

512x512x120
8 bit
0.214844/0.214844/0.5
39317391
Division of Neuroradiology, University of Erlangen, Germany
http://www.neuroradiologie.med.uni-erlangen.de
CTA Scan
EBE CTA 1 dataset
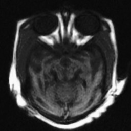
Cadaver Head

Download (16480kb)

.sav

512x512x106
16 bit
0.435547/0.435547/2
02C1D792
Computer Graphics Group, University of Erlangen, Germany
http://www9.cs.fau.de
CT Scan
The cadaver head is famous for the scanning artifacts originating at the teeth
The Carp

Download (19864kb)

.sav

256x256x512
16 bit
0.78125/0.390625/1
AEB61B35
Michael Scheuring
Computer Graphics Group, University of Erlangen, Germany
http://www9.cs.fau.de
CT Scan
The Carp is a seasonal delicacy in Frankonia, Germany
Artificial Clouds

Download (836kb)

512x512x32
8 bit
743C02CB
Stefan Roettger
Computer Graphics Group, University of Erlangen, Germany
http://www9.cs.fau.de/Persons/Roettger
Artifical dataset generated with 3D Perlin Noise

Coronal-fem

Download (2756kb)

512x512x44
8 bit
1.27992/1.27992/4.88636
0564C110
Stefan Roettger & Florian Steinmeyer
Georg-Simon-Ohm University of Applied Sciences, Nuremberg, Germany
http://wiki.ohm-hochschule.de/roettger


Coronal-mal

Download (3636kb)

512x512x59
8 bit
1.35906/1.35906/2.94915
503F9522
Stefan Roettger & Florian Steinmeyer
Georg-Simon-Ohm University of Applied Sciences, Nuremberg, Germany
http://wiki.ohm-hochschule.de/roettger


Crossed Rods

Download (12kb)

.sav

64x64x64
8 bit
8724C5A0
Ove Sommer
Computer Graphics Group, University of Erlangen, Germany
http://www9.cs.fau.de
Artificial
Test dataset containing several crossed rods, balls and platters
Rods are placed like coordinate axes to verify correct orientation
DTI Scan

Download (716kb)

.sav

128x128x58
16 bit
4977B2FE
Pierre Fillard
http://www.cs.unc.edu/~fillard
Diffusion Tensor MRI Scan Series
B0 = lores MRI scan (no diffusion weighting)
B1 = diffusion weighted volume #1 with dir=(1,0,1)
B2 = diffusion weighted volume #2 with dir=(-1,0,1)
B3 = diffusion weighted volume #3 with dir=(0,1,1)
B4 = diffusion weighted volume #4 with dir=(0,1,-1)
B5 = diffusion weighted volume #5 with dir=(1,1,0)
B6 = diffusion weighted volume #6 with dir=(-1,1,0)
MD = mean diffusion
FA = fractional anisotropy
DTI Scan

Download (580kb)

128x128x58
16 bit
424F4A19
Pierre Fillard
http://www.cs.unc.edu/~fillard
Diffusion Tensor MRI Scan Series
B0 = lores MRI scan (no diffusion weighting)
B1 = diffusion weighted volume #1 with dir=(1,0,1)
B2 = diffusion weighted volume #2 with dir=(-1,0,1)
B3 = diffusion weighted volume #3 with dir=(0,1,1)
B4 = diffusion weighted volume #4 with dir=(0,1,-1)
B5 = diffusion weighted volume #5 with dir=(1,1,0)
B6 = diffusion weighted volume #6 with dir=(-1,1,0)
MD = mean diffusion
FA = fractional anisotropy
DTI Scan

Download (580kb)

128x128x58
16 bit
AAB49B39
Pierre Fillard
http://www.cs.unc.edu/~fillard
Diffusion Tensor MRI Scan Series
B0 = lores MRI scan (no diffusion weighting)
B1 = diffusion weighted volume #1 with dir=(1,0,1)
B2 = diffusion weighted volume #2 with dir=(-1,0,1)
B3 = diffusion weighted volume #3 with dir=(0,1,1)
B4 = diffusion weighted volume #4 with dir=(0,1,-1)
B5 = diffusion weighted volume #5 with dir=(1,1,0)
B6 = diffusion weighted volume #6 with dir=(-1,1,0)
MD = mean diffusion
FA = fractional anisotropy
DTI Scan

Download (580kb)

128x128x58
16 bit
488DAC6A
Pierre Fillard
http://www.cs.unc.edu/~fillard
Diffusion Tensor MRI Scan Series
B0 = lores MRI scan (no diffusion weighting)
B1 = diffusion weighted volume #1 with dir=(1,0,1)
B2 = diffusion weighted volume #2 with dir=(-1,0,1)
B3 = diffusion weighted volume #3 with dir=(0,1,1)
B4 = diffusion weighted volume #4 with dir=(0,1,-1)
B5 = diffusion weighted volume #5 with dir=(1,1,0)
B6 = diffusion weighted volume #6 with dir=(-1,1,0)
MD = mean diffusion
FA = fractional anisotropy
DTI Scan

Download (576kb)

128x128x58
16 bit
EFA22F4E
Pierre Fillard
http://www.cs.unc.edu/~fillard
Diffusion Tensor MRI Scan Series
B0 = lores MRI scan (no diffusion weighting)
B1 = diffusion weighted volume #1 with dir=(1,0,1)
B2 = diffusion weighted volume #2 with dir=(-1,0,1)
B3 = diffusion weighted volume #3 with dir=(0,1,1)
B4 = diffusion weighted volume #4 with dir=(0,1,-1)
B5 = diffusion weighted volume #5 with dir=(1,1,0)
B6 = diffusion weighted volume #6 with dir=(-1,1,0)
MD = mean diffusion
FA = fractional anisotropy
DTI Scan

Download (584kb)

128x128x58
16 bit
11743FB5
Pierre Fillard
http://www.cs.unc.edu/~fillard
Diffusion Tensor MRI Scan Series
B0 = lores MRI scan (no diffusion weighting)
B1 = diffusion weighted volume #1 with dir=(1,0,1)
B2 = diffusion weighted volume #2 with dir=(-1,0,1)
B3 = diffusion weighted volume #3 with dir=(0,1,1)
B4 = diffusion weighted volume #4 with dir=(0,1,-1)
B5 = diffusion weighted volume #5 with dir=(1,1,0)
B6 = diffusion weighted volume #6 with dir=(-1,1,0)
MD = mean diffusion
FA = fractional anisotropy
DTI Scan

Download (584kb)

128x128x58
16 bit
FF48D5B6
Pierre Fillard
http://www.cs.unc.edu/~fillard
Diffusion Tensor MRI Scan Series
B0 = lores MRI scan (no diffusion weighting)
B1 = diffusion weighted volume #1 with dir=(1,0,1)
B2 = diffusion weighted volume #2 with dir=(-1,0,1)
B3 = diffusion weighted volume #3 with dir=(0,1,1)
B4 = diffusion weighted volume #4 with dir=(0,1,-1)
B5 = diffusion weighted volume #5 with dir=(1,1,0)
B6 = diffusion weighted volume #6 with dir=(-1,1,0)
MD = mean diffusion
FA = fractional anisotropy
DTI Scan

Download (648kb)

128x128x58
8 bit
E62446AC
Stefan Roettger
Computer Graphics Group, University of Erlangen, Germany
http://www9.cs.fau.de/Persons/Roettger
Diffusion Tensor MRI Scan Series
B0 = lores MRI scan (no diffusion weighting)
B1 = diffusion weighted volume #1 with dir=(1,0,1)
B2 = diffusion weighted volume #2 with dir=(-1,0,1)
B3 = diffusion weighted volume #3 with dir=(0,1,1)
B4 = diffusion weighted volume #4 with dir=(0,1,-1)
B5 = diffusion weighted volume #5 with dir=(1,1,0)
B6 = diffusion weighted volume #6 with dir=(-1,1,0)
MD = mean diffusion
FA = fractional anisotropy
DTI Scan

Download (364kb)

128x128x58
8 bit
7F461F36
Stefan Roettger
Computer Graphics Group, University of Erlangen, Germany
http://www9.cs.fau.de/Persons/Roettger
Diffusion Tensor MRI Scan Series
B0 = lores MRI scan (no diffusion weighting)
B1 = diffusion weighted volume #1 with dir=(1,0,1)
B2 = diffusion weighted volume #2 with dir=(-1,0,1)
B3 = diffusion weighted volume #3 with dir=(0,1,1)
B4 = diffusion weighted volume #4 with dir=(0,1,-1)
B5 = diffusion weighted volume #5 with dir=(1,1,0)
B6 = diffusion weighted volume #6 with dir=(-1,1,0)
MD = mean diffusion
FA = fractional anisotropy
Daisy Pollen Grain

Download (568kb)

.sav

192x180x168
8 bit
745EFA2F
Olaf Ronneberger
Computer Science Institute, University of Freiburg, Germany

Daisy pollen grain recorded by confocal laser scanning microscopy

Engine Block

Download (2900kb)

.sav

256x256x256
8 bit
E786CB95
General Electric, USA
http://www.ge.com
CT Scan
GE Industrial Scanner
Two cylinders of an engine block
Foot

Download (4592kb)

.sav

256x256x256
8 bit
4FAD56F0
Philips Research, Hamburg, Germany
http://www.philips.de/forschung
CT Scan
Philips CT Scanner

Frog

Download (1652kb)

.sav

256x256x44
8 bit
0.5/0.5/1
B2E8D2C2
Information and Computing Sciences Division, Lawrence Berkeley Laboratory, USA
http://www-itg.lbl.gov
MRI Scan
This is the second frog used in the Whole Frog Project. Three sets of data
were produced with the MRI scans. frog2ci.hips seemed to be the best,
and only this set of data was processed using HIPS filters to balance the
contrast on the images.

This same frog was later sliced and a better data set is produced that showed
more detail of the frog.

frog2ci.hips -- is a spin echo data set
with 50 slices, inplane resolution of 0.5mm, slice thickness and
separation of 1.0mm, TE = 33ms.

The individual slices 2-45 are in the tiff directory.

For information about the HIPS file format see
http://www-itg.lbl.gov/ITG.hm.pg.docs/image-proc/CCS-ECL/README.txt

This data is copyrighted by Lawrence Berkeley National Laboratory.
Fuel Injection

Download (12kb)

.sav

64x64x64
8 bit
282902A6
SFB 382 of the German Research Council (DFG)
Simulation of fuel injection into a combustion chamber
The higher the density value, the lower the presence of air

Hydrogen Atom

Download (196kb)

.sav

128x128x128
8 bit
4A792245
SFB 382 of the German Research Council (DFG)
Simulation of the spatial probability distribution of the electron in
a hydrogen atom, residing in a strong magnetic field.


Download (5912kb)

.sav

500x500x100
16 bit
4/4/3
4462EA24
Hurricane Isabel converted into PVM format by Stefan Roettger
Georg-Simon-Ohm University of Applied Sciences, Nuremberg, Germany
http://wiki.ohm-hochschule.de/roettger

The Weather Research and Forecasting (WRF) Model simulation data of Hurricane Isabel
was kindly provided by Bill Kuo, Wei Wang, Cindy Bruyere, Tim Scheitlin, and Don Middleton
of the U.S. National Center for Atmospheric Research (NCAR) and the
U.S. National Science Foundation (NSF) at this location:

http://www.vets.ucar.edu/vg/isabeldata/



Download (5772kb)

.sav

500x500x100
16 bit
4/4/3
5039AFFF
Hurricane Isabel converted into PVM format by Stefan Roettger
Georg-Simon-Ohm University of Applied Sciences, Nuremberg, Germany
http://wiki.ohm-hochschule.de/roettger

The Weather Research and Forecasting (WRF) Model simulation data of Hurricane Isabel
was kindly provided by Bill Kuo, Wei Wang, Cindy Bruyere, Tim Scheitlin, and Don Middleton
of the U.S. National Center for Atmospheric Research (NCAR) and the
U.S. National Science Foundation (NSF) at this location:

http://www.vets.ucar.edu/vg/isabeldata/


Isabel-Upwind

Download (32548kb)

500x500x100
16 bit
4/4/3
C9695DDD
Hurricane Isabel converted into PVM format by Stefan Roettger
Georg-Simon-Ohm University of Applied Sciences, Nuremberg, Germany
http://wiki.ohm-hochschule.de/roettger

The Weather Research and Forecasting (WRF) Model simulation data of Hurricane Isabel
was kindly provided by Bill Kuo, Wei Wang, Cindy Bruyere, Tim Scheitlin, and Don Middleton
of the U.S. National Center for Atmospheric Research (NCAR) and the
U.S. National Science Foundation (NSF) at this location:

http://www.vets.ucar.edu/vg/isabeldata/



Download (8384kb)

.sav

384x384x96
8 bit
1.0909/1.0909/0.989583
B23A8009
Stefan Roettger
Georg-Simon-Ohm University of Applied Sciences, Nuremberg, Germany
http://wiki.ohm-hochschule.de/roettger


Kiwi

Download (3260kb)

256x256x104
8 bit
0.466919/0.466919/0.61899
3732AC40
Stefan Roettger & Florian Steinmeyer
Georg-Simon-Ohm University of Applied Sciences, Nuremberg, Germany
http://wiki.ohm-hochschule.de/roettger


Knee

Download (26040kb)

.sav

512x512x87
16 bit
0.25/0.25/1.5
21D925AD
Brigham and Women's Hospital Surgical Planning Laboratory
http://splweb.bwh.harvard.edu
MRI Scan
From the Transfer Function Bakeoff at IEEE Visualization '00 Conference
Original source: http://visual.nlm.nih.gov
Lobster

Download (1908kb)

.sav

301x324x56
8 bit
1/1/1.4
CFCD4D44
VolVis distribution of SUNY Stony Brook, NY, USA.
http://www.volvis.org
CT Scan
The lobster is contained in a block of resin
MRI Head

Download (13412kb)

.sav

256x256x256
8 bit
1/1/0.8
3396D681
Computer Graphics Group, University of Erlangen, Germany
http://www9.cs.fau.de
MRI Scan

MRI Phantom

Download (7420kb)

181x217x181
16 bit
19FB5371
McConnell Brain Imaging Centre
Montreal Neurological Institute, McGill University
http://www.bic.mni.mcgill.ca/cgi/brainweb
Simulated MRI Scan Series
BrainWeb: Simulated Brain Database

As the interest in the computer-aided, quantitative analysis of
medical image data is growing, the need for the validation of such
techniques is also increasing. Unfortunately, there exists no `ground
truth' or gold standard for the analysis of in vivo acquired data. The
BrainWeb pages provide a solution to the validation problem, in the
form of a Simulated Brain Database (SBD). The SBD contains a set of
realistic MRI data volumes produced by an MRI simulator. These data
can be used by the neuroimaging community to evaluate the performance
of various image analysis methods in a setting where the truth is
known.

PD = MRI Proton Density
T1 = MRI T1 measurement
T2 = MRI T2 measurement
MRI Phantom

Download (6656kb)

.sav

181x217x181
16 bit
3AB8A09B
McConnell Brain Imaging Centre
Montreal Neurological Institute, McGill University
http://www.bic.mni.mcgill.ca/cgi/brainweb
Simulated MRI Scan Series
BrainWeb: Simulated Brain Database

As the interest in the computer-aided, quantitative analysis of
medical image data is growing, the need for the validation of such
techniques is also increasing. Unfortunately, there exists no `ground
truth' or gold standard for the analysis of in vivo acquired data. The
BrainWeb pages provide a solution to the validation problem, in the
form of a Simulated Brain Database (SBD). The SBD contains a set of
realistic MRI data volumes produced by an MRI simulator. These data
can be used by the neuroimaging community to evaluate the performance
of various image analysis methods in a setting where the truth is
known.

PD = MRI Proton Density
T1 = MRI T1 measurement
T2 = MRI T2 measurement
MRI Phantom

Download (7648kb)

181x217x181
16 bit
DEFC2412
McConnell Brain Imaging Centre
Montreal Neurological Institute, McGill University
http://www.bic.mni.mcgill.ca/cgi/brainweb
Simulated MRI Scan Series
BrainWeb: Simulated Brain Database

As the interest in the computer-aided, quantitative analysis of
medical image data is growing, the need for the validation of such
techniques is also increasing. Unfortunately, there exists no `ground
truth' or gold standard for the analysis of in vivo acquired data. The
BrainWeb pages provide a solution to the validation problem, in the
form of a Simulated Brain Database (SBD). The SBD contains a set of
realistic MRI data volumes produced by an MRI simulator. These data
can be used by the neuroimaging community to evaluate the performance
of various image analysis methods in a setting where the truth is
known.

PD = MRI Proton Density
T1 = MRI T1 measurement
T2 = MRI T2 measurement
MRI Woman

Download (7788kb)

.sav

256x256x109
16 bit
1/1/1.5
EA3A8842
Siemens Medical Systems, Inc., Iselin, NJ., USA
MRI Scan
Siemens Magnetom

Registered Monkey Head (CT)

Download (540kb)

.sav

256x256x62
8 bit
55513E1F
Laboratory of Neuro Imaging, UCLA, USA
http://www.loni.ucla.edu/Research/Atlases/
CT Scan

Registered Monkey Head (MRI T1)

Download (2160kb)

.sav

256x256x62
8 bit
E0DAD1AC
Laboratory of Neuro Imaging, UCLA, USA
http://www.loni.ucla.edu/Research/Atlases/
MRI T1 Scan

Registered Monkey Head (MRI T2)

Download (1724kb)

.sav

256x256x62
8 bit
2D7656C6
Laboratory of Neuro Imaging, UCLA, USA
http://www.loni.ucla.edu/Research/Atlases/
MRI T2 Scan

Registered Monkey Head (PET)

Download (3340kb)

256x256x62
RGB
100FE261
Laboratory of Neuro Imaging, UCLA, USA
http://www.loni.ucla.edu/Research/Atlases/
PET Scan

Neghip

Download (68kb)

.sav

64x64x64
8 bit
42A8A6EF
VolVis distribution of SUNY Stony Brook, NY, USA.
http://www.volvis.org
Simulation of the spatial probability distribution of the electrons in
a high potential protein molecule.
Neghip = Negative high potential protein molecule
Orange

Download (2480kb)

.sav

256x256x64
8 bit
0.390625/0.390625/1
3CA3D462
Bill Johnston and Wing Nip
Information and Computing Sciences Division, Lawrence Berkeley Laboratory, USA
http://www-itg.lbl.gov
MRI Scan
These images and data were produced at Lawrence Berkeley Laboratory by
Bill Johnston and Wing Nip of the Information and Computing Sciences
Division. This work is supported by the U. S. Department of Energy,
Energy Research Division, Office of the Scientific Computing Staff
under contract DE-AC03-76SF00098. This data is provided for the
purpose of scientific research and collaboration with Lawrence Berkeley
Laboratory. Any commercial use of these images and data
require prior agreement with Lawrence Berkeley Laboratory. The
images and data are Copyright Lawrence Berkeley Laboratory. For
further information contact Bill Johnston (510-486-5014,
wejohnston@lbl.gov).

Download (1060kb)

.sav

480x512x64
8 bit
0.70166/0.701752/0.885938
DCF08EE7
Stefan Roettger
Georg-Simon-Ohm University of Applied Sciences, Nuremberg, Germany
http://wiki.ohm-hochschule.de/roettger


Piggy Bank

Download (16516kb)

.sav

512x512x134
16 bit
0.371094/0.371094/1
E0EF8A00
Michael Bauer
Computer Graphics Group, University of Erlangen, Germany
http://www9.cs.fau.de
CT Scan
Siemens Volume Zoom Somatom Plus 4
To prevent scanning artifacts the piggy bank contains chocolate coins
Porsche Model Car

Download (32356kb)

.sav

559x1023x347
8 bit
B05EFB08
Michael Bauer, Stefan Roettger
Computer Graphics Group, University of Erlangen, Germany
http://www9.cs.fau.de


Retrograde-GF

Download (6500kb)

320x320x72
16 bit
1.25/1.25/1.85
92EA86AD




Download (4152kb)

.sav

320x320x72
16 bit
1.25/1.25/1.85
29A40E5E
Stefan Roettger
Georg-Simon-Ohm University of Applied Sciences, Nuremberg, Germany
http://wiki.ohm-hochschule.de/roettger


Sheep Heart

Download (18772kb)

.sav

352x352x256
8 bit
FC68B74E
Center for In-Vivo Microscopy, Duke University, North Carolina, USA
http://wwwcivm.mc.duke.edu
MRI Scan
From the Transfer Function Bakeoff at IEEE Visualization '00 Conference
Original source: http://visual.nlm.nih.gov
Spherical Distance Volume

Download (68kb)

64x64x64
8 bit
DF219C08
Stefan Roettger
Computer Graphics Group, University of Erlangen, Germany
http://www9.cs.fau.de/Persons/Roettger
Artificial
Test dataset containing the euclidean distance to the origin
Test Spheres

Download (1596kb)

.sav

128x128x128
8 bit
4817C587
Stefan Roettger
Computer Graphics Group, University of Erlangen, Germany
http://www9.cs.fau.de/Persons/Roettger
Artificial Test Dataset


Download (14408kb)

.sav

512x512x96
8 bit
0.779724/0.779724/0.791667
FEB03210
Stefan Roettger
Georg-Simon-Ohm University of Applied Sciences, Nuremberg, Germany
http://wiki.ohm-hochschule.de/roettger


Teddy Bear

Download (8856kb)

.sav

512x512x63
16 bit
0.693359/0.693359/5
5F420124
Bernd Tomandl
Division of Neuroradiology, University of Erlangen, Germany
http://www.neuroradiologie.med.uni-erlangen.de
CT Scan

Tomato

Download (2292kb)

.sav

256x256x64
8 bit
0.390625/0.390625/1
9872930A
Bill Johnston and Wing Nip
Information and Computing Sciences Division, Lawrence Berkeley Laboratory, USA
http://www-itg.lbl.gov
MRI Scan
These images and data were produced at Lawrence Berkeley Laboratory by
Bill Johnston and Wing Nip of the Information and Computing Sciences
Division. This work is supported by the U. S. Department of Energy,
Energy Research Division, Office of the Scientific Computing Staff
under contract DE-AC03-76SF00098. This data is provided for the
purpose of scientific research and collaboration with Lawrence Berkeley
Laboratory. Any commercial use of these images and data
require prior agreement with Lawrence Berkeley Laboratory. The
images and data are Copyright Lawrence Berkeley Laboratory. For
further information contact Bill Johnston (510-486-5014,
wejohnston@lbl.gov).
The Tooth

Download (4540kb)

.sav

256x256x161
16 bit
64E45893
GE Aircraft Engines, Evendale, Ohio, USA
Micro CT Scan
GE Industrial Micro CT Scanner
From the Transfer Function Bakeoff at IEEE Visualization '00 Conference
Original source: http://visual.nlm.nih.gov

Download (7684kb)

.sav

448x448x208
8 bit
0.712691/0.712691/0.796154
AD7982A4
Stefan Roettger
Georg-Simon-Ohm University of Applied Sciences, Nuremberg, Germany
http://wiki.ohm-hochschule.de/roettger



Download (16964kb)

.sav

448x448x160
8 bit
0.645876/0.645876/0.944063
EDE5D510
Stefan Roettger
Georg-Simon-Ohm University of Applied Sciences, Nuremberg, Germany
http://wiki.ohm-hochschule.de/roettger



Download (17072kb)

.sav

448x448x160
16 bit
946A9B34
Stefan Roettger
Georg-Simon-Ohm University of Applied Sciences, Nuremberg, Germany
http://wiki.ohm-hochschule.de/roettger


Virgo Cluster

Download (11720kb)

256x256x256
RGB
211B2D5B
The Virgo Consortium
http://www.virgo.dur.ac.uk
N-Body Simulation of the Virgo Group
Original scattered data resampled by Matthias Hopf
http://www.mshopf.de
Head (Visible Male)

Download (2792kb)

.sav

128x256x256
8 bit
1.57774/0.995861/1.00797
26B44CE6
National Library of Medicine, National Institutes of Health, USA
http://www.nlm.nih.gov
CT Scan

The XMasTree
lores version

Download (10096kb)

.sav

256x249x256
16 bit
2720D16E
The CT-dataset XMasTree was generated from a real world Christmas Tree
by the Department of Radiology, University of Vienna and the Institute
of Computer Graphics and Algorithms, Vienna University of Technology.

http://ringlotte.cg.tuwien.ac.at/datasets/XMasTree/XMasTree.html
CT Scan

Real-world dimensions:

X-Size: 476mm
Y-Size: 476mm
Z-Size: 499mm

The XMasTree

Download (72236kb)

512x499x512
16 bit
BBE684C1
The CT-dataset XMasTree was generated from a real world Christmas Tree
by the Department of Radiology, University of Vienna and the Institute
of Computer Graphics and Algorithms, Vienna University of Technology.

http://ringlotte.cg.tuwien.ac.at/datasets/XMasTree/XMasTree.html
CT Scan

Real-world dimensions:

X-Size: 476mm
Y-Size: 476mm
Z-Size: 499mm

Zukic_Dzenan_T1
MR T1 Scan

Download (624kb)

256x256x24
8 bit
0.661469/0.661469/5.21949
61201BA3
Zukic Dzenan


Zukic_Dzenan_T1SAG
MR T1 Sagittal Scan

Download (948kb)

512x512x12
8 bit
0.682259/0.682259/4.03333
9C968709
Zukic Dzenan


Zukic_Dzenan_T2
MR T2 Scan

Download (1336kb)

432x432x24
8 bit
0.392608/0.392608/5.21949
33C61676
Zukic Dzenan


Zukic_Dzenan_T2SAG
MR T2 Sagittal Scan

Download (1280kb)

640x640x12
8 bit
0.546021/0.546021/4.03333
A04FC330
Zukic Dzenan



This table is generated automatically from my volume data repository
Number of datasets: 85
Last modification: 04.June.2012